メンテナンス・予防の症例
- 渋谷の歯医者「渋谷青山デンタルクリニック」TOP
- 症例一覧
- メンテナンス・予防
- 歯の着色をエアフローで除去した症例(40代・自由診療)
歯の着色をエアフローで除去した症例(40代・自由診療)
-
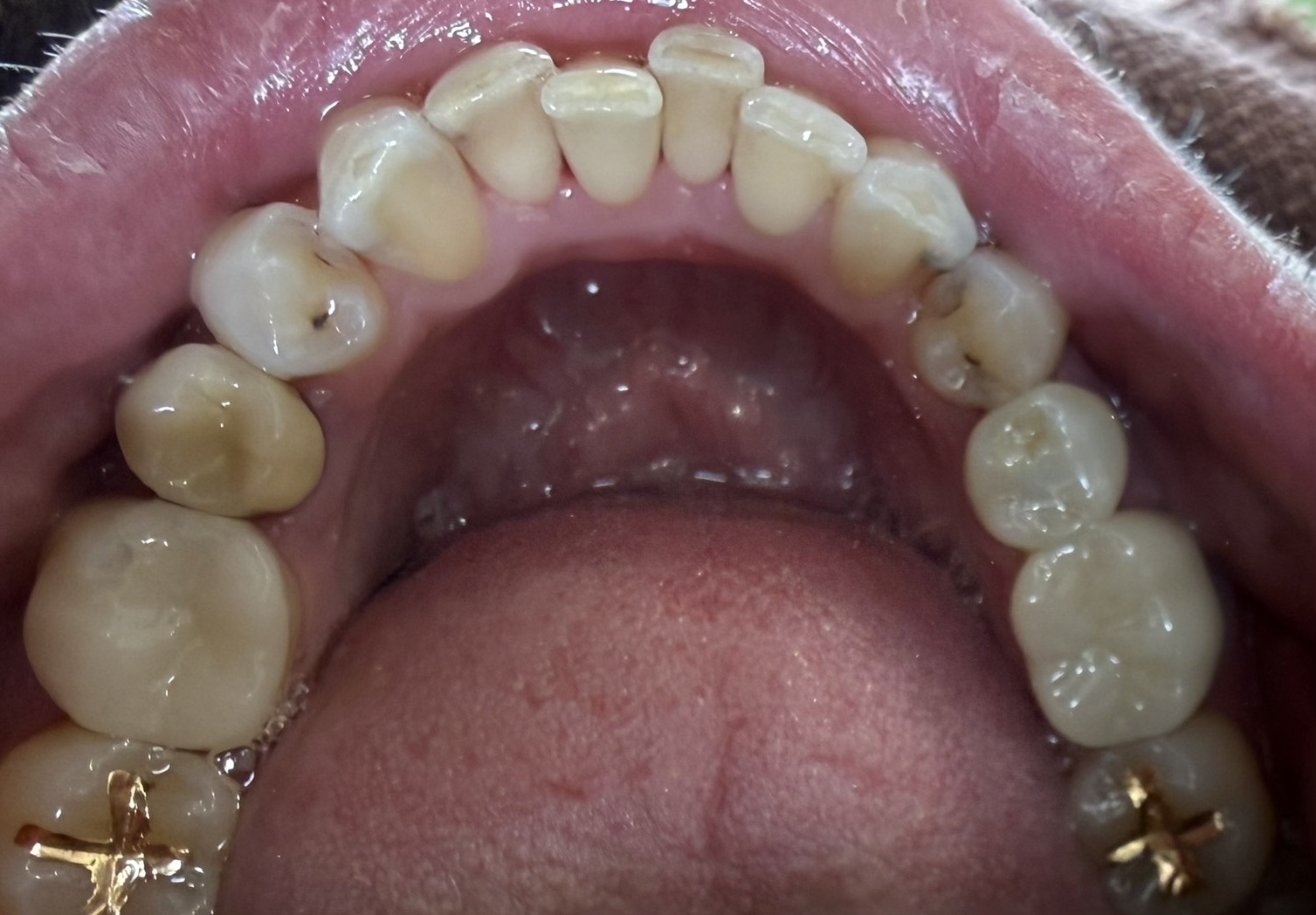
治療前
-
治療後
| 主訴 | 「歯の着色が気になる」とのことで来院されました |
|---|---|
| 治療内容 | 歯面へのプラーク付着および着色沈着を認めたため、エアフロー(微細なパウダーを用いた歯面清掃)を行いました |
| 患者様の年齢 | 40代(施術時) |
| 治療期間 | 1回(60分) |
| 治療費 | 11,000円(税込) ※使用する器具や施術範囲により費用は異なる場合があります。 |
| メリット | 短時間で歯面の着色やプラークをまとめて除去でき、歯本来の清潔感を取り戻すことができます |
| リスク・副作用 | 着色の程度により、施術後の仕上がりには個人差があります。歯肉に炎症がある場合、軽度の出血を伴う場合があります。 |
\ いつもの歯のクリーニングにプラス /
口腔外科医による「無料口腔粘膜検診」実施中
※初診時は別途初診料がかかります
- 口腔がんチェック
- メンテナンス料金に含まれる
- 大学病院経験の院長が担当

- 渋谷の歯医者
渋谷青山デンタルクリニック
東京都渋谷区渋谷1丁目8−7 第27SYビル 10階 B
診察時間 平日 10:00~13:30 / 15:00~20:00
土日祝 9:30~13:30 / 15:00~19:00
休診日 年末年始
電話番号 03-6421-0550